HORSES
Diagnostics
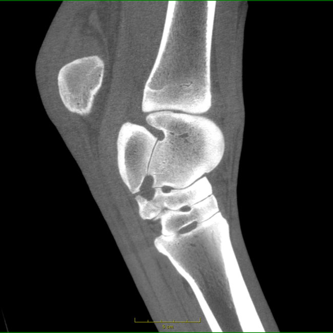
Our High Definition Volumetric Imaging (HDVI) technology represents the most advanced stage of Flat Panel CT technology. It offers exceptional diagnostic imaging for both hard and soft tissues, in diagnostic settings and intraoperative theaters. It is the gold standard for orthopedic applications.
Pegaso enhances safety and usability by enabling the scanning of a standing horse’s head, neck, and limbs.
PEGASO EVOLUTION AND CENTAURI
Imaging diagnostic devices
Diagnostic and Intraoperative
Scan of the head, neck and limbs in standing position
Multimodality
Easy to move

Multimodality
High Definition Volumetric Imaging (HDVI) Computed Tomography and Fluoroscopy in one device.
Diagnostic and intraoperative use
Diagnostics, preoperative, intraoperative and post-operative environments: our technology offers full capabilities.
Easy to move with compact design
Our machines easily move around clinical rooms.
Smart technology
Our technology significantly reduces infrastructure and maintenance costs. Key advantages include low electrical consumption, remote technical assistance, and compact design.
Scan of the standing horse
Pegaso scans head, neck and limbs of the standing horse
Other products
Oris Dental CT
Oris Dental CT
High Definition Volumetric Imaging (HDVI) technology
View more
SeeFactor CT3™
SeeFactor CT3™
A mobile, multi-modality, intraoperative imaging platform with ultra-high resolution and low radiation doses.
View more
Vimago Family
Vimago Family
Achieves unparalleled clarity in small companion animal scans.
View more
Non-Destructive Testing
Non-Destructive Testing
CT scanner for non-destructive testing of industrial materials and products.
View more
Delphivet Surgical Navigator
Delphivet Surgical Navigator
Real-time navigation with any CT system for unmatched accuracy
View more
Oris Dental CT
Oris Dental CT
High Definition Volumetric Imaging (HDVI) technology
View more
SeeFactor CT3™
SeeFactor CT3™
A mobile, multi-modality, intraoperative imaging platform with ultra-high resolution and low radiation doses.
View more
Vimago Family
Vimago Family
Achieves unparalleled clarity in small companion animal scans.
View more
Non-Destructive Testing
Non-Destructive Testing
CT scanner for non-destructive testing of industrial materials and products.
View more
Delphivet Surgical Navigator
Delphivet Surgical Navigator
Real-time navigation with any CT system for unmatched accuracy
View more
Discover technical details
and more information about those products








