Hybrid
Operating Room
Advanced technology for complex procedures
A hybrid operating room integrates imaging systems and surgical tools
A state-of-the-art surgical suite designed to perform complex procedures with maximum precision
Seamless Integration of Imaging and Surgery
Combining CT Scanner, advanced image viewer, and surgical navigation system to ensure precise intraoperative guidance and optimal outcomes.
Hybrid
Operating Room
Advanced technology for complex procedures
Versatility and Precision
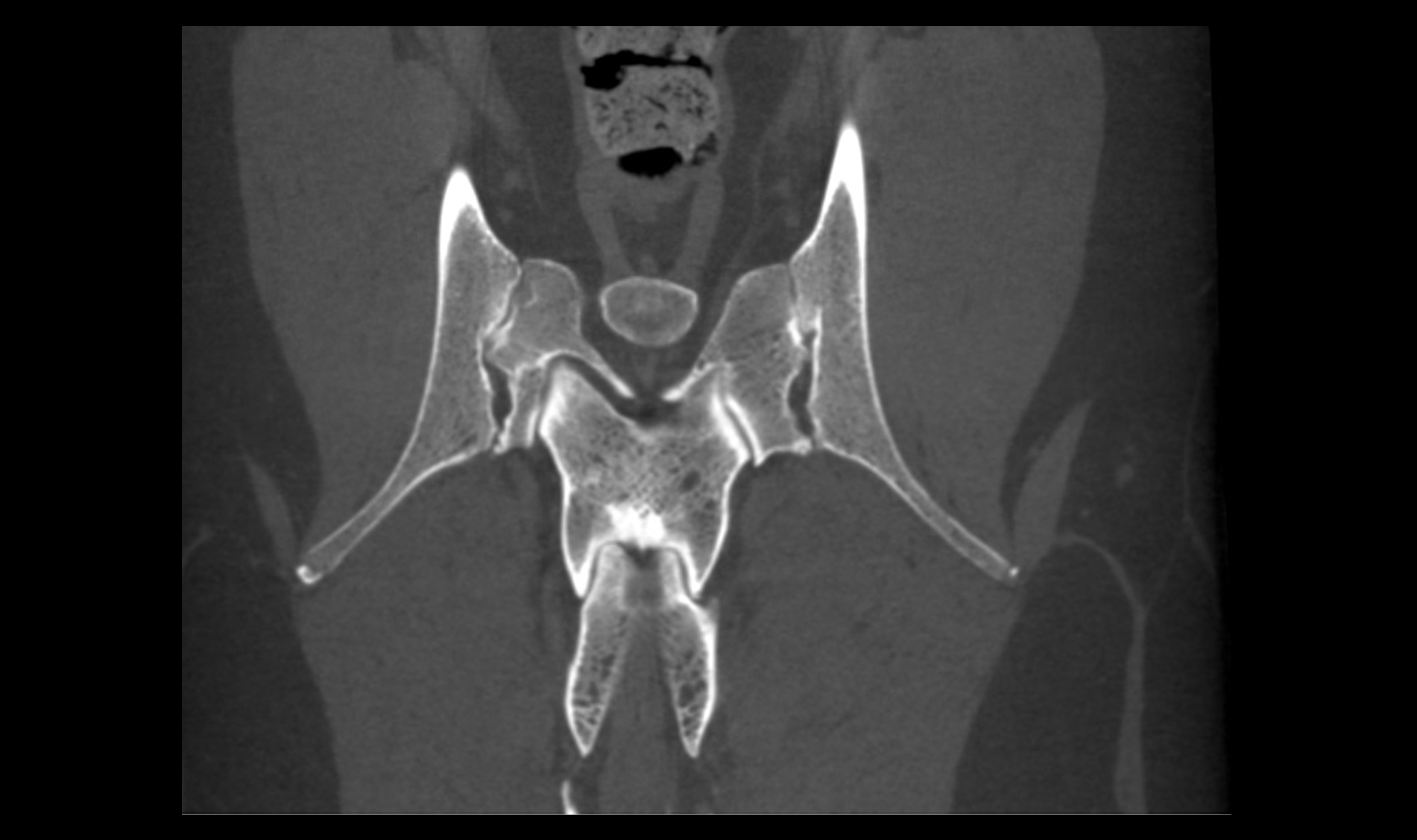
HDVI and HRCT
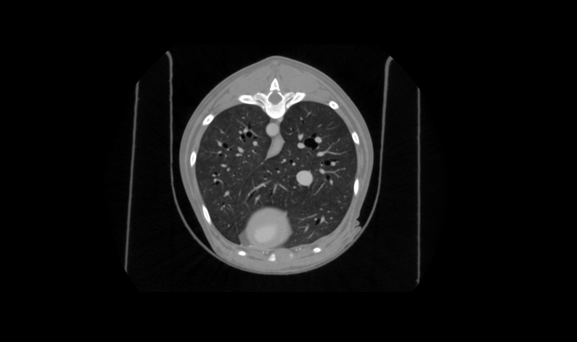
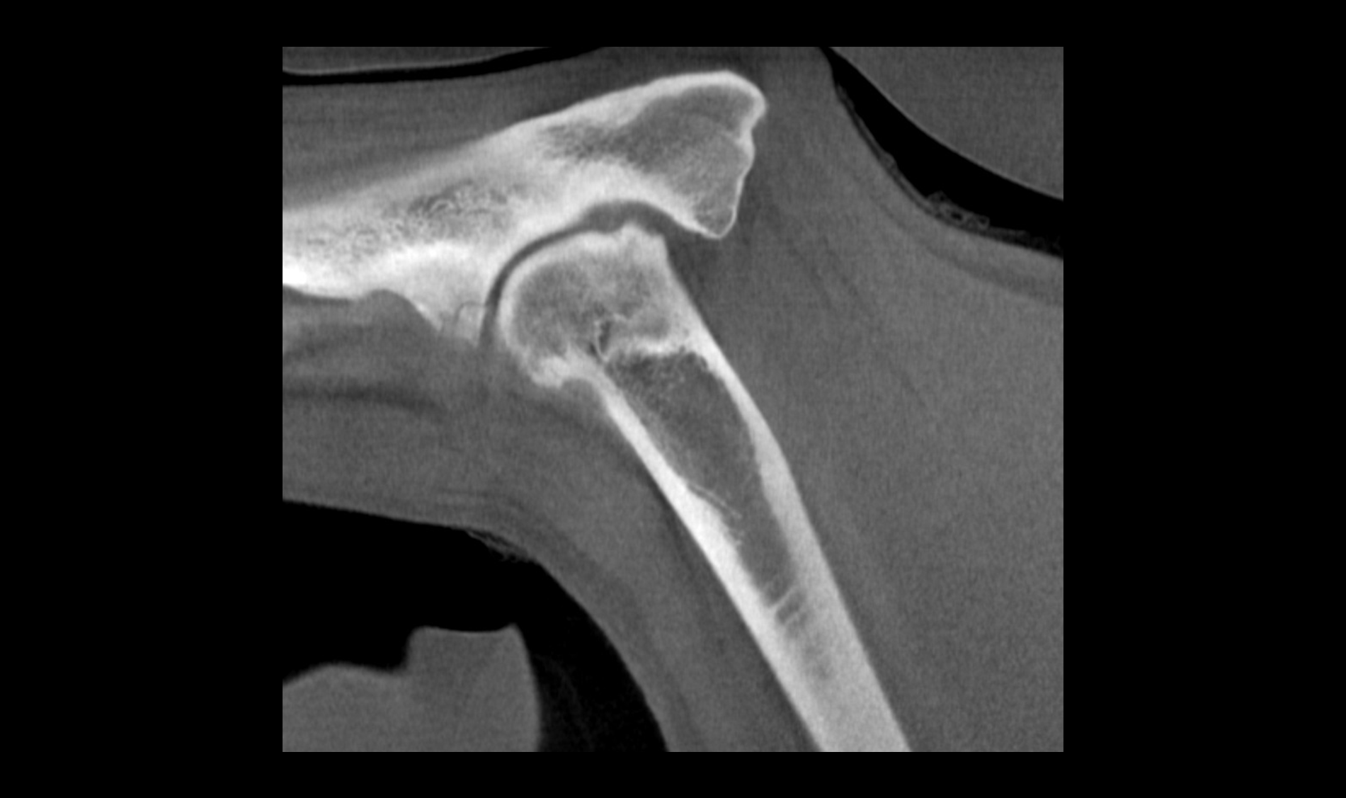
SPATIAL RESOLUTION
Outstanding image quality in hard tissues.
CONTRAST RESOLUTION
Enhanced soft tissue imaging capability.
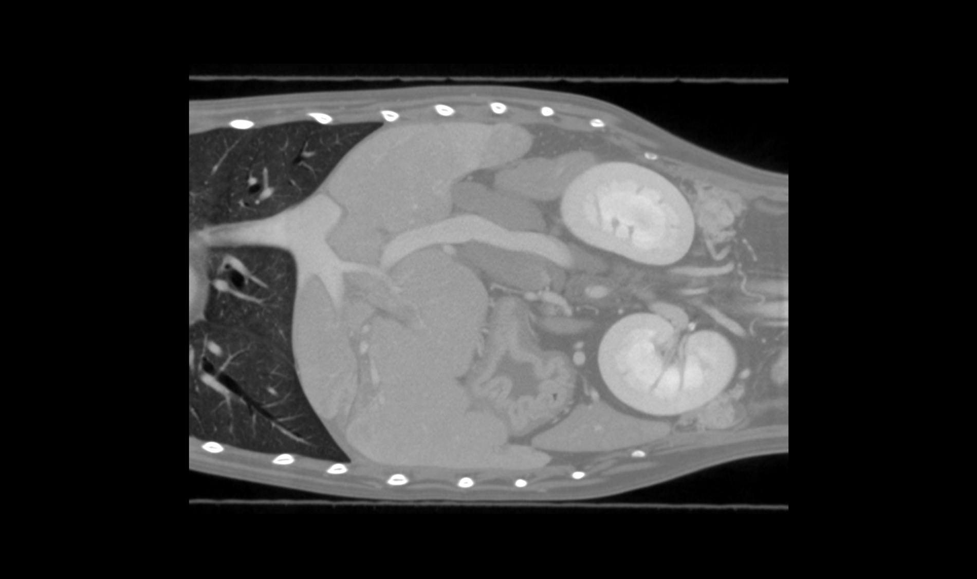
ISOTROPIC VOXEL
True Multi Planar Reconstruction (MPR) imaging.
MULTIMODALITY
Computed Tomography, Fluoroscopy and Digital Radiography all in one.
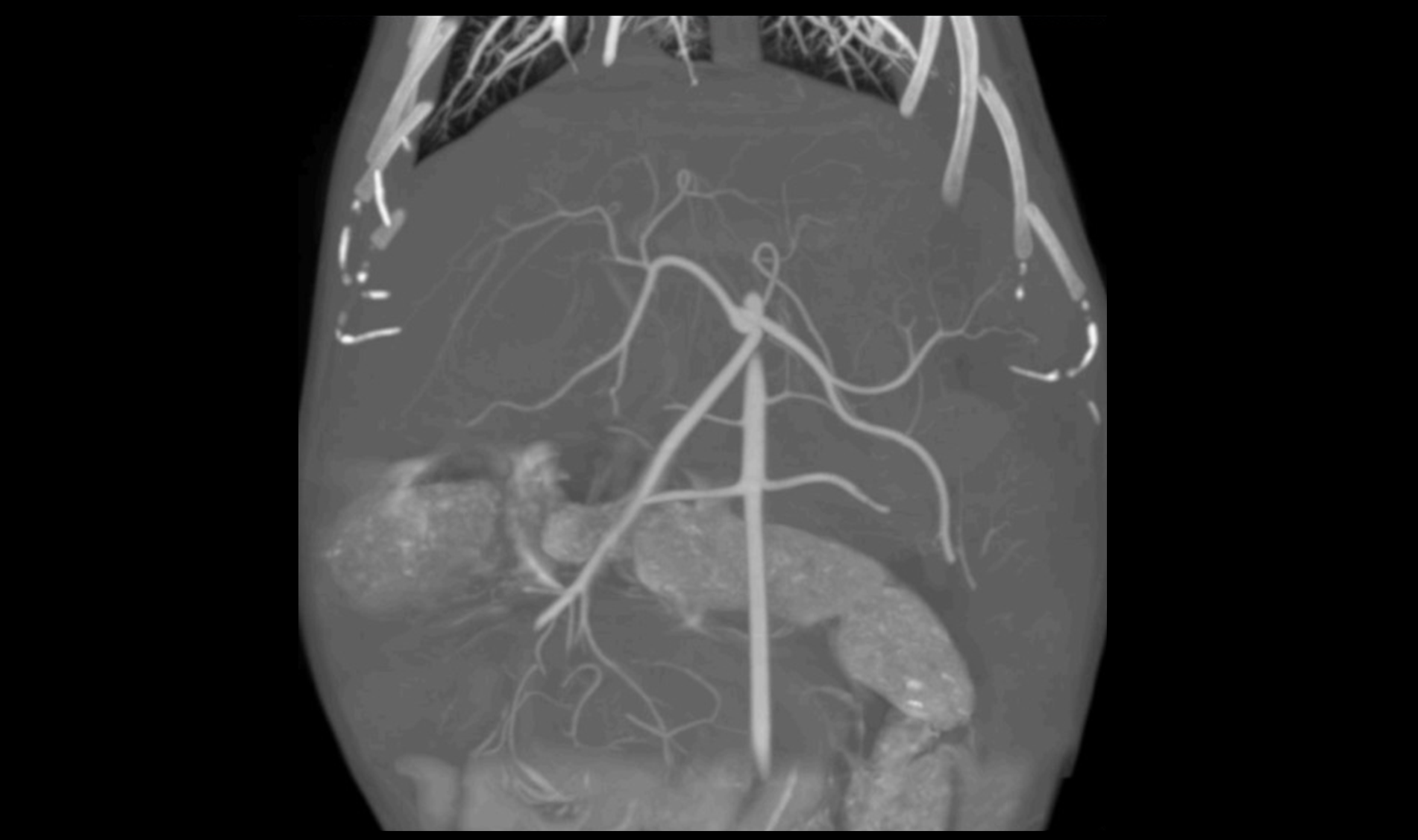
NON INTERPOLATED 3D DATA VOLUME REPRESENTATION
Acquisition of volumes with 100% real data: perfect for augmented reality, orthopedics and image-guided procedures.
DIAGNOSTIC AND INTRAOPERATIVE
Diagnostic, preoperative, intraoperative and postoperative environments.
MOBILE IMAGING
Easily move our technology from the diagnostic space to the surgery room.
OPTIMAL FOOTPRINT
Our devices fit in reduced space environments.
REDUCED COSTS OF INSTALLATION AND MAINTENANCE
Smart maintenance plans, remote service and troubleshooting, monophase power line, low power consumption.
FULL INTEGRATION WITH DELPHI NAVIGATION SYSTEM
Our devices + Delphi navigation system are the ultimate expression of the intraoperative experience
Dr Joe D’Abbracchio
"Like many other practices, we were sending out radiographs for radiology review and they kept coming back as CT scans recommended and so a year and a half ago I was really considering how can we get this piece of technology here instead of sending my patients 2-3 hours away and at different price points, where I wouldn't be able to take the case back because someone else did the surgery."
DVM,
Catskill Veterinary Services
Dr Pedro Armstrong
"Our imaging equipment accommodates animals up to 200 lbs., including the chimpanzee scanned for the Lion Country Safari in Palm Beach County. A case done at the Palm Beach Zoo caught the eye of local news; two recent cases at a private practice will be featured on a national TV show."
DVM, DACVIM,
Mobile Pet Imaging
Dr Steve Dullard
"We have been able to justify and recover the expense immediately upon implementing it. The CT scans have led to a number of procedures that would have been hard for many clients to justify without the education that the scans provided."
DVM, DABVP,
Ancare Veterinary Hospital
Dr Page Wages
"The training was phenomenal. We were up and running after two days of practicing. Like anything learning positioning took a little getting used to but now setting up a patient is pretty simple. We can now recognize when to do a breath-hold aside from the obvious chest and abdominal scans."
DVM, MA,
Care First Animal Hospital
Dr Scott Echols
"We really don't know that much about the anatomy of a lot of these animals. However, we have never had a way to visualize it like we can now and each scan that we perform is a whole new treasure trove of data. We can literally see each blood vessel in the body."
DVM, DABVP,
Parrish Creek Veterinary Hospital & Diagnostic Center
Advancing Veterinary Care
Our scanners represent a point of reference for the veterinary profession, allowing targeted interventions and effective treatments for four-legged friends.
Human CT Scanner Innovation
Imaginalis innovative vision has led to a new milestone: the development of a human CT scanner that promises to revolutionize the medical sector, particularly in orthopedic applications.
Precision Diagnosis & Treatment
Our scanner introduces advanced technology that offers high-resolution images and greater imaging flexibility, allowing for more precise diagnosis and optimized treatment planning.
Trust the process &
grow your business
Diagnosis
Accurately diagnose medical conditions in-house, thereby helping treatment, increasing the number of surgeries and improving patient care.
Surgeries
Our devices can follow the patient through the pre-operative, intra-operative and post-operative phases. Our technology will guide you every step of the way.
Efficiency
This is all done efficiently, minimizing the structural impact on your clinic and your ongoing energy costs.
Get in touch
If you’re interested in learning more about our veterinary products, please fill out the form below. A member of our team will contact you shortly.


